技術規格
|
Background: |
This gene encodes a protein that belongs to the type I cytokine receptor family. This protein combines with a high-affinity converter subunit, gp130, to form a receptor complex that mediates the action of the leukemia inhibitory factor, a polyfunctional cytokine that is involved in cellular differentiation, proliferation and survival in the adult and the embryo. Mutations in this gene cause Schwartz-Jampel syndrome type 2, a disease belonging to the group of the bent-bone dysplasias. A translocation that involves the promoter of this gene, t(5;8)(p13;q12) with the pleiomorphic adenoma gene 1, is associated with salivary gland pleiomorphic adenoma, a common type of benign epithelial tumor of the salivary gland. Multiple splice variants encoding the same protein have been found for this gene. |
|
Applications: |
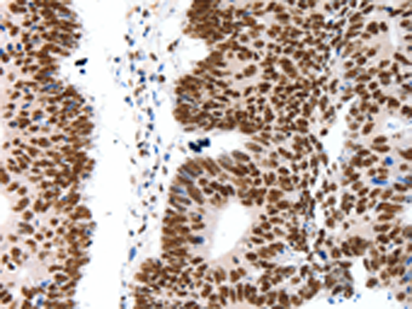
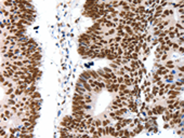
ELISA, IHC |
|
Name of antibody: |
LIFR |
|
Immunogen: |
Synthetic peptide of human LIFR |
|
Full name: |
leukemia inhibitory factor receptor alpha |
|
Synonyms: |
SWS, SJS2, STWS, CD118, LIF-R |
|
SwissProt: |
P42702 |
|
ELISA Recommended dilution: |
1000-5000 |
|
IHC positive control: |
Human colon cancer and Human ovarian cancer |
|
IHC Recommend dilution: |
25-100 |

購物車
幫助
021-54845833/15800441009
