中文名稱:小鼠抗AFP單克隆抗體
		
 
	
		
 
	
| 
					 Background:  | 
				
					 This gene encodes alpha-fetoprotein, a major plasma protein produced by the yolk sac and the liver during fetal life. Alpha-fetoprotein expression in adults is often associated with hepatoma or teratoma. However, hereditary persistance of alpha-fetoprotein may also be found in individuals with no obvious pathology. The protein is thought to be the fetal counterpart of serum albumin, and the alpha-fetoprotein and albumin genes are present in tandem in the same transcriptional orientation on chromosome 4. Alpha-fetoprotein is found in monomeric as well as dimeric and trimeric forms, and binds copper, nickel, fatty acids and bilirubin. The level of alpha-fetoprotein in amniotic fluid is used to measure renal loss of protein to screen for spina bifida and anencephaly.  | 
			
| 
					 Applications:  | 
				
					 ELISA, WB, IHC  | 
			
| 
					 Name of antibody:  | 
				
					 AFP  | 
			
| 
					 Immunogen:  | 
				
					 Fusion protein of human AFP  | 
			
| 
					 Full name:  | 
				
					 alpha fetoprotein  | 
			
| 
					 Synonyms:  | 
				
					 AFPD; FETA; HPAFP  | 
			
| 
					 SwissProt:  | 
				
					 P02771  | 
			
| 
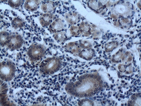
					 IHC positive control:  | 
				
					 Human gastric  | 
			
| 
					 IHC Recommend dilution:  | 
				
					 40-200  | 
			
| 
					 WB Predicted band size:  | 
				
					 69 kDa  | 
			
| 
					 WB Positive control:  | 
				
					 HepG2 whole cell lysate  | 
			
| 
					 WB Recommended dilution:  | 
				
					 1000-5000  | 
			
	
	
	
購物車
幫助
021-54845833/15800441009
              