中文名稱: 兔抗AGA多克隆抗體
|
Background: |
Aspartylglucosaminidase is involved in the catabolism of N-linked oligosaccharides of glycoproteins. It cleaves asparagine from N-acetylglucosamines as one of the final steps in the lysosomal breakdown of glycoproteins. The lysosomal storage disease aspartylglycosaminuria is caused by a deficiency in the AGA enzyme. Alternatively spliced transcript variants have been identified. |
|
Applications: |
ELISA, WB, IHC |
|
Name of antibody: |
AGA |
|
Immunogen: |
Fusion protein of human AGA |
|
Full name: |
Aspartylglucosaminidase |
|
Synonyms: |
GA; AGU; ASRG |
|
SwissProt: |
P20933 |
|
ELISA Recommended dilution: |
1000-2000 |
|
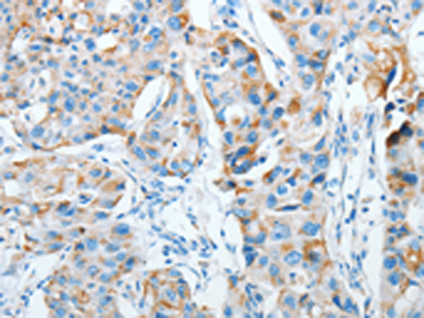
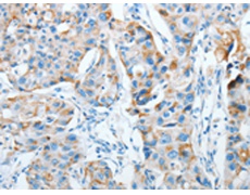
IHC positive control: |
Human breast cancer and Human lung cancer |
|
IHC Recommend dilution: |
15-50 |
|
WB Predicted band size: |
37 kDa |
|
WB Positive control: |
Mouse kidney tissue, human testis and thyroid cancer tissue |
|
WB Recommended dilution: |
200-1000 |
購物車
幫助
021-54845833/15800441009
