中文名稱: 兔抗ACOT9多克隆抗體
|
Background: |
The protein encoded by this gene is a mitochondrial acyl-CoA thioesterase of unknown function. Two transcript variants encoding different isoforms have been found for this gene. Acyl-CoA thioesterases are a group of enzymes that catalyze the hydrolysis of acyl-CoAs to the free fatty acid and coenzyme A (CoASH), providing the potential to regulate intracellular levels of acyl-CoAs, free fatty acids and CoASH. Active on long chain acyl-CoAs. |
|
Applications: |
ELISA, WB, IHC |
|
Name of antibody: |
ACOT9 |
|
Immunogen: |
Fusion protein of human ACOT9 |
|
Full name: |
Acyl-CoA thioesterase 9 |
|
Synonyms: |
ACATE2; CGI-16; MTACT48; MT-ACT48 |
|
SwissProt: |
Q9Y305 |
|
ELISA Recommended dilution: |
2000-5000 |
|
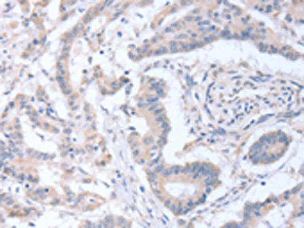
IHC positive control: |
Human colon cancer |
|
IHC Recommend dilution: |
10-50 |
|
WB Predicted band size: |
50 kDa |
|
WB Positive control: |
MCF7 and A172 cells |
|
WB Recommended dilution: |
500-2000 |
購物車
幫助
021-54845833/15800441009
