|
Background: |
DLL1 is a human homolog of the Notch Delta ligand and is a member of the delta/serrate/jagged family. It plays a role in mediating cell fate decisions during hematopoiesis. It may play a role in cell-to-cell communication. |
|
Applications: |
ELISA, WB, IHC |
|
Name of antibody: |
DLL1 |
|
Immunogen: |
Synthetic peptide of human DLL1 |
|
Full name: |
delta like canonical Notch ligand 1 |
|
Synonyms: |
DL1; Delta; DELTA1 |
|
SwissProt: |
O00548 |
|
ELISA Recommended dilution: |
5000-10000 |
|
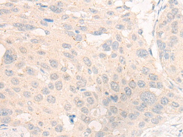
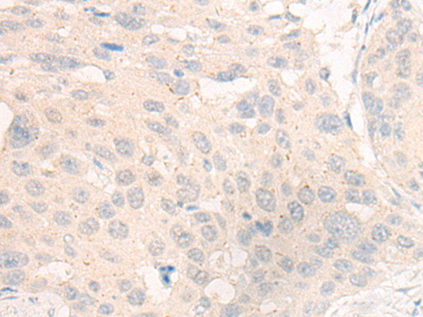
IHC positive control: |
Human esophagus cancer and Human brain |
|
IHC Recommend dilution: |
10-50 |
|
WB Predicted band size: |
78 kDa |
|
WB Positive control: |
Rat heart tissue lysate |
|
WB Recommended dilution: |
200-1000 |


購物車
幫助
021-54845833/15800441009
