中文名稱:兔抗ADAM19多克隆抗體
| 
					 Background:  | 
				
					 This gene encodes a member of the ADAM (a disintegrin and metalloprotease domain) family. Members of this family are membrane-anchored proteins structurally related to snake venom disintegrins and have been implicated in a variety of biological processes involving cell-cell and cell-matrix interactions, including fertilization, muscle development, and neurogenesis. This member is a type I transmembrane protein and serves as a marker for dendritic cell differentiation. It has been demonstrated to be an active metalloproteinase, which may be involved in normal physiological processes such as cell migration, cell adhesion, cell-cell and cell-matrix interactions, and signal transduction. It is proposed to play a role in pathological processes, such as cancer, inflammatory diseases, renal diseases, and Alzheimer's disease.  | 
			
| 
					 Applications:  | 
				
					 ELISA, IHC  | 
			
| 
					 Name of antibody:  | 
				
					 ADAM19  | 
			
| 
					 Immunogen:  | 
				
					 Synthetic peptide of human ADAM19  | 
			
| 
					 Full name:  | 
				
					 ADAM metallopeptidase domain 19  | 
			
| 
					 Synonyms:  | 
				
					 MLTNB; FKSG34; MADDAM  | 
			
| 
					 SwissProt:  | 
				
					 Q9H013  | 
			
| 
					 ELISA Recommended dilution:  | 
				
					 2000-5000  | 
			
| 
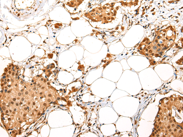
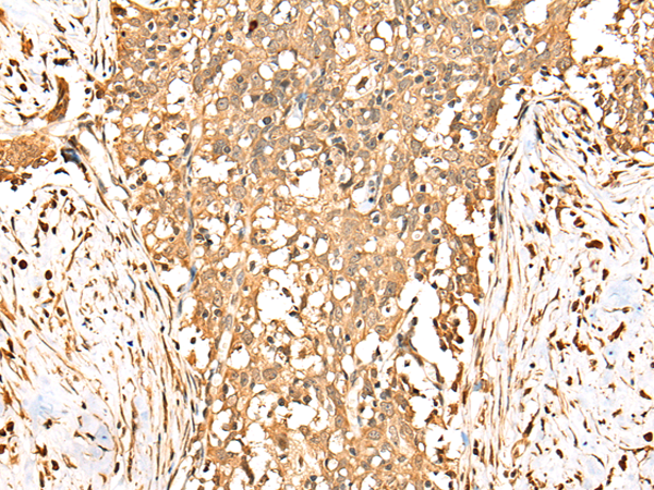
					 IHC positive control:  | 
				
					 Human breast cancer and human esophagus cancer  | 
			
| 
					 IHC Recommend dilution:  | 
				
					 25-100  | 
			
	
	
	
 
	
	
	
 
	
購物車
幫助
021-54845833/15800441009
              