中文名稱:兔抗AMPH多克隆抗體
英文名稱: Anti-AMPH rabbit polyclonal antibody
別 名: AMPH1
抗 原: AMPH
儲 存: 冷凍(-20℃)
宿 主: Rabbit
相關類別: 一抗
反應種屬: Human, Mouse
標 記 物: Unconjugate
克隆類型: rabbit polyclonal
技術規格
|
Background: |
This gene encodes a protein associated with the cytoplasmic surface of synaptic vesicles. A subset of patients with stiff-man syndrome who were also affected by breast cancer are positive for autoantibodies against this protein. Alternate splicing of this gene results in two transcript variants encoding different isoforms. Additional splice variants have been described, but their full length sequences have not been determined. A pseudogene of this gene is found on chromosome 11. |
|
Applications: |
ELISA, WB, IHC |
|
Name of antibody: |
AMPH |
|
Immunogen: |
Fusion protein of human AMPH |
|
Full name: |
amphiphysin |
|
Synonyms: |
AMPH1 |
|
SwissProt: |
P49418 |
|
ELISA Recommended dilution: |
1000-5000 |
|
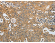
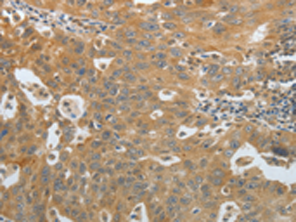
IHC positive control: |
Human ovarian cancer and Human lung cancer |
|
IHC Recommend dilution: |
50-200 |
|
WB Predicted band size: |
76 kDa |
|
WB Positive control: |
Mouse lung tissue |
|
WB Recommended dilution: |
500-2000 |
購物車
幫助
021-54845833/15800441009
