中文名稱:兔抗CALCR多克隆抗體
英文名稱: Anti-CALCR rabbit polyclonal antibody
別 名: CRT, CTR, CT-R, CTR1
抗 原: CALCR
儲 存: 冷凍(-20℃)
宿 主: Rabbit
相關類別: 一抗
反應種屬: Human
標 記 物: Unconjugate
克隆類型: rabbit polyclonal
技術規格
|
Background: |
This gene encodes a high affinity receptor for the peptide hormone calcitonin and belongs to a subfamily of seven transmembrane-spanning G protein-coupled receptors. The encoded protein is involved in maintaining calcium homeostasis and in regulating osteoclast-mediated bone resorption. Polymorphisms in this gene have been associated with variations in bone mineral density and onset of osteoporosis. Alternate splicing results in multiple transcript variants. |
|
Applications: |
ELISA, IHC |
|
Name of antibody: |
CALCR |
|
Immunogen: |
Fusion protein of human CALCR |
|
Full name: |
calcitonin receptor |
|
Synonyms: |
CRT, CTR, CT-R, CTR1 |
|
SwissProt: |
P30988 |
|
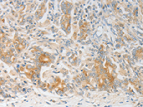
IHC positive control: |
Human gastric cancer |
|
IHC Recommend dilution: |
15-50 |

購物車
幫助
021-54845833/15800441009
