|
Background: |
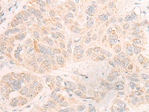
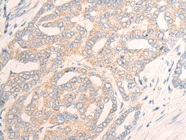
Dermatopontin is an extracellular matrix protein with possible functions in cell-matrix interactions and matrix assembly. The protein is found in various tissues and many of its tyrosine residues are sulphated. Dermatopontin is postulated to modify the behavior of TGF-beta through interaction with decorin. |
|
Applications: |
ELISA, IHC |
|
Name of antibody: |
DPT |
|
Immunogen: |
Fusion protein of human DPT |
|
Full name: |
dermatopontin |
|
Synonyms: |
TRAMP |
|
SwissProt: |
Q07507 |
|
ELISA Recommended dilution: |
5000-10000 |
|
IHC positive control: |
Human liver cancer and Human esophagus cancer |
|
IHC Recommend dilution: |
20-100 |

購物車
幫助
021-54845833/15800441009
