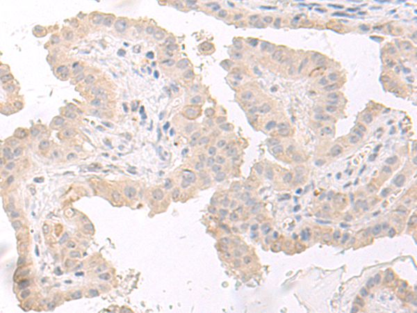
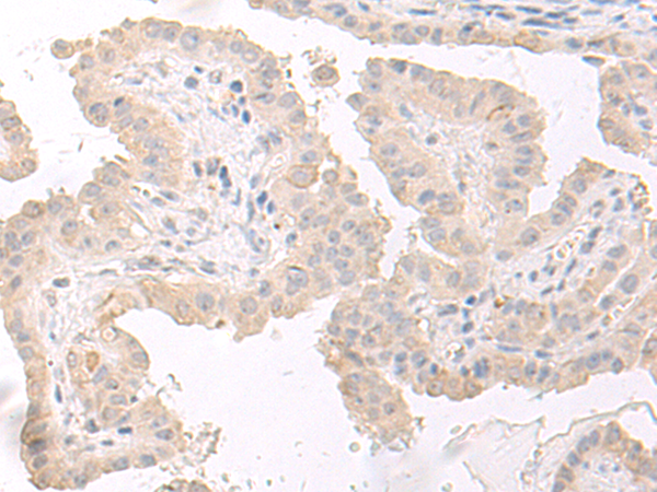
中文名稱: 兔抗FOXRED2多克隆抗體
英文名稱: Anti-FOXRED2 rabbit polyclonal antibody
別 名: FAD dependent oxidoreductase domain containing 2; ERFAD
相關類別: 一抗
儲 存: 冷凍(-20℃)
宿 主: Rabbit
抗 原: FOXRED2
反應種屬: Human
標 記 物: Unconjugate
克隆類型: rabbit polyclonal
技術規格


技術規格

