中文名稱:兔抗CDK20多克隆抗體
英文名稱: Anti-CDK20 rabbit polyclonal antibody
別 名: cyclin dependent kinase 20; P42; CCRK; CDCH; PNQALRE
相關類別: 一抗
抗 原: CDK20
儲 存: 冷凍(-20℃)
宿 主: Rabbit
反應種屬: Human, Mouse, Rat
標 記 物: Unconjugate
技術規格
|
Background: |
The protein encoded by this gene contains a kinase domain most closely related to the cyclin-dependent protein kinases. The encoded kinase may activate cyclin-dependent kinase 2 and is involved in cell growth. Alternatively spliced transcript variants encoding distinct isoforms have been reported. |
|
Applications: |
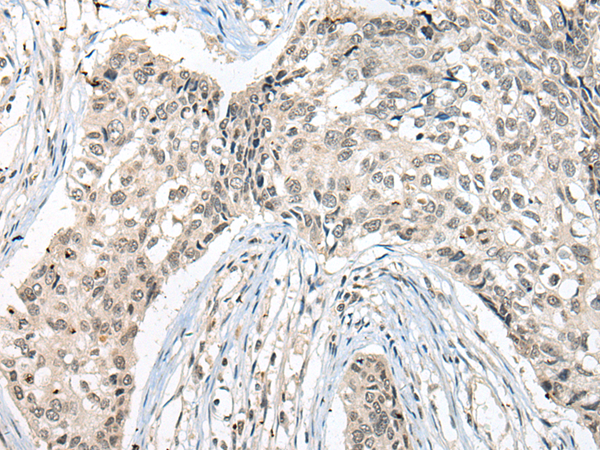
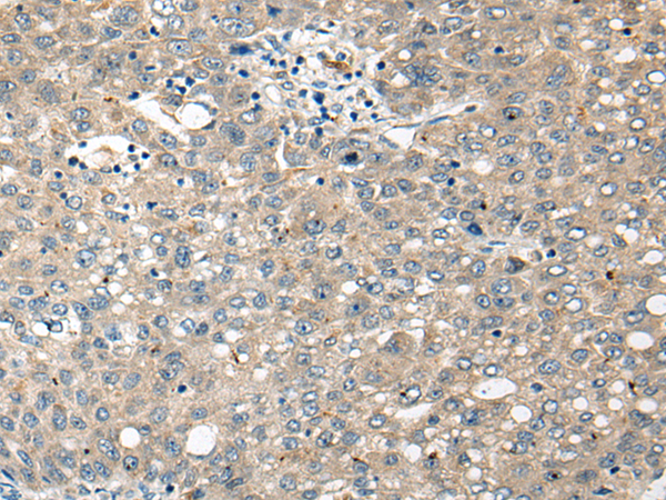
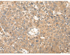
ELISA, IHC |
|
Name of antibody: |
CDK20 |
|
Immunogen: |
Synthetic peptide of human CDK20 |
|
Full name: |
cyclin dependent kinase 20 |
|
Synonyms: |
P42; CCRK; CDCH; PNQALRE |
|
SwissProt: |
Q8IZL9 |
|
ELISA Recommended dilution: |
1000-2000 |
|
IHC positive control: |
Human liver cancer and human lung cancer |
|
IHC Recommend dilution: |
20-100 |
購物車
幫助
021-54845833/15800441009
