中文名稱: 兔抗HK1/HK2多克隆抗體
別 名: HK; HKD; HKI; HXK1; RP79; HMSNR; HK1-ta; HK1-tb; HK1-tc; hexokinase; HKII; HXK2
儲 存: 冷凍(-20℃)
標 記 物: Unconjugate
克隆類型: rabbit polyclonal
技術規格
|
Background: |
Hexokinases phosphorylate glucose to produce glucose-6-phosphate, the first step in most glucose metabolism pathways. This gene encodes a ubiquitous form of hexokinase which localizes to the outer membrane of mitochondria. Mutations in this gene have been associated with hemolytic anemia due to hexokinase deficiency. Alternative splicing of this gene results in several transcript variants which encode different isoforms, some of which are tissue-specific. |
|
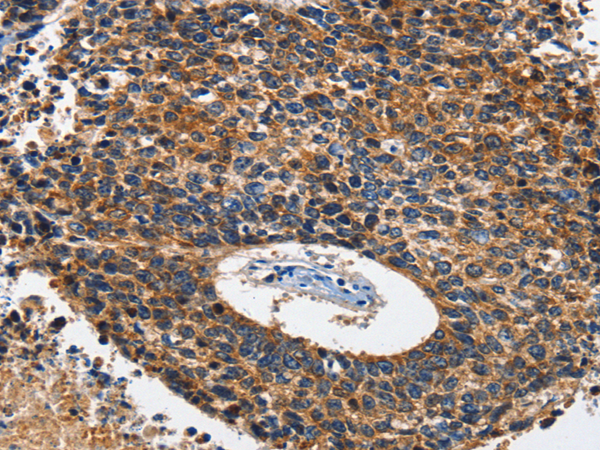
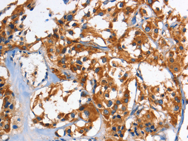
Applications: |
ELISA, IHC |
|
Name of antibody: |
HK1/HK2 |
|
Immunogen: |
Fusion protein of human HK1/HK2 |
|
Full name: |
hexokinase 1/2 |
|
Synonyms: |
HK; HKD; HKI; HXK1; RP79; HMSNR; HK1-ta; HK1-tb; HK1-tc; hexokinase; HKII; HXK2 |
|
SwissProt: |
P19367/P52789 |
|
ELISA Recommended dilution: |
1000-5000 |
|
IHC positive control: |
Human brain and Human thyroid cancer |
|
IHC Recommend dilution: |
50-200 |

購物車
幫助
021-54845833/15800441009
