中文名稱:兔抗GSR多克隆抗體
英文名稱: Anti-GSR rabbit polyclonal antibody
抗 原: GSR
儲 存: 冷凍(-20℃)
宿 主: Rabbit
相關類別: 一抗
反應種屬: Human, Mouse, Rat
標記物: Unconjugate
克隆類型: rabbit polyclonal
Background:
This gene encodes a member of the class-I pyridine nucleotide-disulfide oxidoreductase family. This enzyme is a homodimeric flavoprotein. It is a central enzyme of cellular antioxidant defense, and reduces oxidized glutathione disulfide (GSSG) to the sulfhydryl form GSH, which is an important cellular antioxidant. Rare mutations in this gene result in hereditary glutathione reductase deficiency. Multiple alternatively spliced transcript variants encoding different isoforms have been found.
Applications:
ELISA, WB, IHC
Name of antibody:
GSR
Immunogen:
Fusion protein of human GSR
Full name:
Glutathione reductase
SwissProt:
P00390
ELISA Recommended dilution:
2000-10000
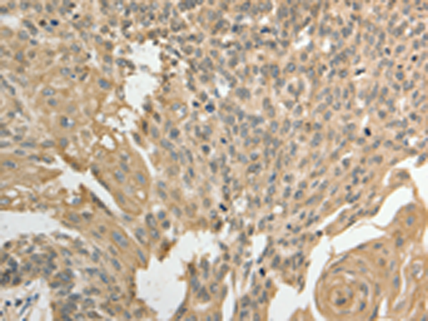
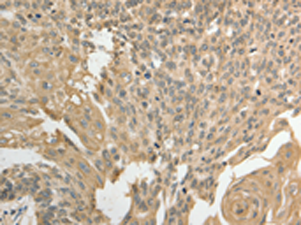
IHC positive control:
Human cervical cancer and Human ovarian cancer
IHC Recommend dilution:
50-200
WB Predicted band size:
56 kDa
WB Positive control:
Jurkat, Hela and A549 cells
WB Recommended dilution:
1000-5000
技術規格


購物車
幫助
021-54845833/15800441009
