中文名稱:兔抗GUSB多克隆抗體
英文名稱: Anti-GUSB rabbit polyclonal antibody
別 名: glucuronidase beta; BG; MPS7
抗 原: GUSB
儲 存: 冷凍(-20℃)
宿 主: Rabbit
反應種屬: Human
相關類別: 一抗
標記物: Unconjugate
克隆類型: rabbit polyclonal
Background:
This gene encodes a hydrolase that degrades glycosaminoglycans, including heparan sulfate, dermatan sulfate, and chondroitin-4,6-sulfate. The enzyme forms a homotetramer that is localized to the lysosome. Mutations in this gene result in mucopolysaccharidosis type VII. Alternative splicing results in multiple transcript variants. There are many pseudogenes of this locus in the human genome.
Applications:
ELISA, WB, IHC
Name of antibody:
GUSB
Immunogen:
Fusion protein of human GUSB
Full name:
glucuronidase beta
Synonyms:
BG; MPS7
SwissProt:
P08236
ELISA Recommended dilution:
5000-10000
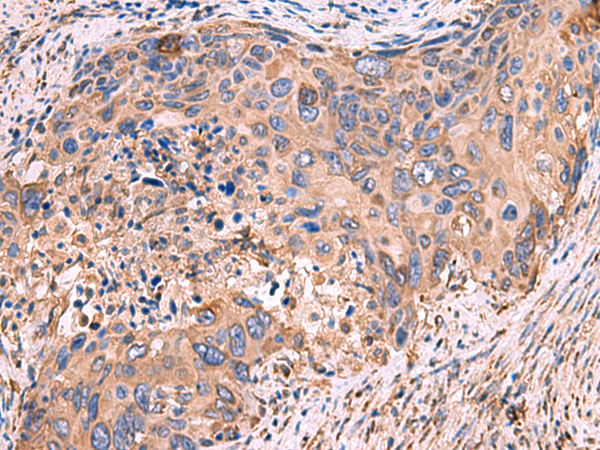
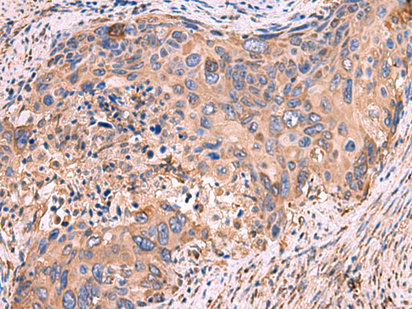
IHC positive control:
Human cervical cancer
IHC Recommend dilution:
40-200
WB Predicted band size:
75 kDa
WB Positive control:
K562 cell lysate
WB Recommended dilution:
500-2000
技術規格

購物車
幫助
021-54845833/15800441009
