中文名稱: 兔抗MRPL40多克隆抗體
英文名稱: Anti-MRPL40 rabbit polyclonal antibody
別 名: mitochondrial ribosomal protein L40; URIM; L40mt; NLVCF; MRPL22; MRP-L22; MRP-L40
相關類別: 一抗
儲 存: 冷凍(-20℃)
宿 主: Rabbit
抗 原: MRPL40
反應種屬: Human
標 記 物: Unconjugate
克隆類型: rabbit polyclonal
技術規格
|
Background: |
Mammalian mitochondrial ribosomal proteins are encoded by nuclear genes and help in protein synthesis within the mitochondrion. Mitochondrial ribosomes (mitoribosomes) consist of a small 28S subunit and a large 39S subunit. They have an estimated 75% protein to rRNA composition compared to prokaryotic ribosomes, where this ratio is reversed. Another difference between mammalian mitoribosomes and prokaryotic ribosomes is that the latter contain a 5S rRNA. Among different species, the proteins comprising the mitoribosome differ greatly in sequence, and sometimes in biochemical properties, which prevents easy recognition by sequence homology. This gene encodes a 39S subunit protein. Deletions in this gene may contribute to the etiology of velo-cardio-facial syndrome and DiGeorge syndrome. |
|
Applications: |
ELISA, WB, IHC |
|
Name of antibody: |
MRPL40 |
|
Immunogen: |
Fusion protein of human MRPL40 |
|
Full name: |
mitochondrial ribosomal protein L40 |
|
Synonyms: |
URIM; L40mt; NLVCF; MRPL22; MRP-L22; MRP-L40 |
|
SwissProt: |
Q9NQ50 |
|
ELISA Recommended dilution: |
5000-10000 |
|
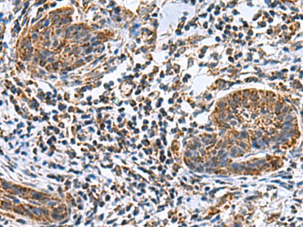
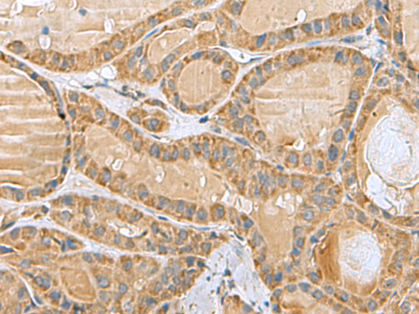
IHC positive control: |
Human esophagus cancer and Human thyroid cancer |
|
IHC Recommend dilution: |
100-300 |
|
WB Predicted band size: |
24 kDa |
|
WB Positive control: |
K562, A172, Jurkat, LOVO cell lysates |
|
WB Recommended dilution: |
1000-5000 |



購物車
幫助
021-54845833/15800441009
