中文名稱: 兔抗PXMP2多克隆抗體
英文名稱: Anti-PXMP2 rabbit polyclonal antibody
別 名: PMP22
儲 存: 冷凍(-20℃) 避光
抗 原: PXMP2
宿 主: Rabbit
反應種屬: Human
相關類別: 一抗
標 記 物: Unconjugate
克隆類型: Unconjugate
技術規格
|
Background: |
Seems to be involved in pore-forming activity and may contribute to the unspecific permeability of the peroxisomal membrane. |
|
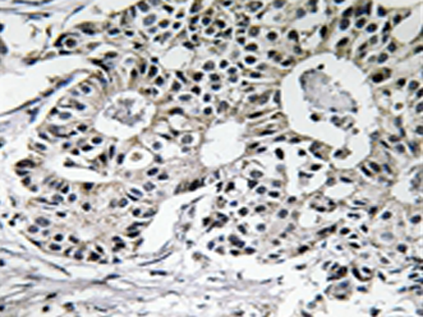
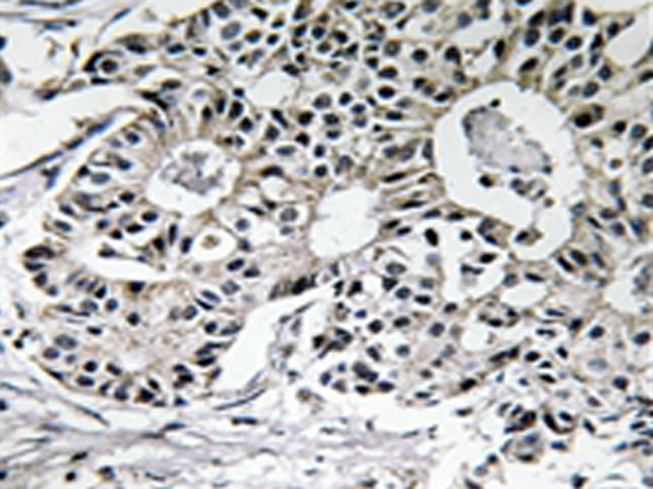
Applications: |
IHC |
|
Name of antibody: |
PXMP2 |
|
Immunogen: |
Synthesized peptide derived from internal of human PXMP2. |
|
Full name: |
peroxisomal membrane protein 2, 22kDa |
|
Synonyms: |
PMP22 |
|
SwissProt: |
Q9NR77 |
|
IHC positive control: |
Human breast carcinoma tissue |
|
IHC Recommend dilution: |
50-100 |

購物車
幫助
021-54845833/15800441009
