|
Background: |
Required for dynein-dynactin complex and NUMA1 recruitment at the mitotic cell cortex during anaphase (PubMed:23870127). |
|
Applications: |
ELISA, IHC |
|
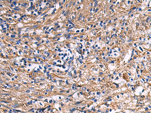
Name of antibody: |
EPB41L2 |
|
Immunogen: |
Synthetic peptide of human EPB41L2 |
|
Full name: |
erythrocyte membrane protein band 4.1 like 2 |
|
Synonyms: |
4.1G; 4.1-G |
|
SwissProt: |
O43491 |
|
ELISA Recommended dilution: |
5000-10000 |
|
IHC positive control: |
Human brain |
|
IHC Recommend dilution: |
50-100 |
購物車
幫助
021-54845833/15800441009
