中文名稱: 兔抗MSI2多克隆抗體
英文名稱: Anti-MSI2 rabbit polyclonal antibody
別 名: musashi RNA binding protein 2; MSI2H
相關類別: 一抗
儲 存: 冷凍(-20℃)
宿 主: Rabbit
抗 原: MSI2
反應種屬: Human
標 記 物: Unconjugate
克隆類型: rabbit polyclonal
技術規格
|
Background: |
This gene encodes an RNA-binding protein that is a member of the Musashi protein family. The encoded protein is transcriptional regulator that targets genes involved in development and cell cycle regulation. Mutations in this gene are associated with poor prognosis in certain types of cancers. This gene has also been shown to be rearranged in certain cancer cells. |
|
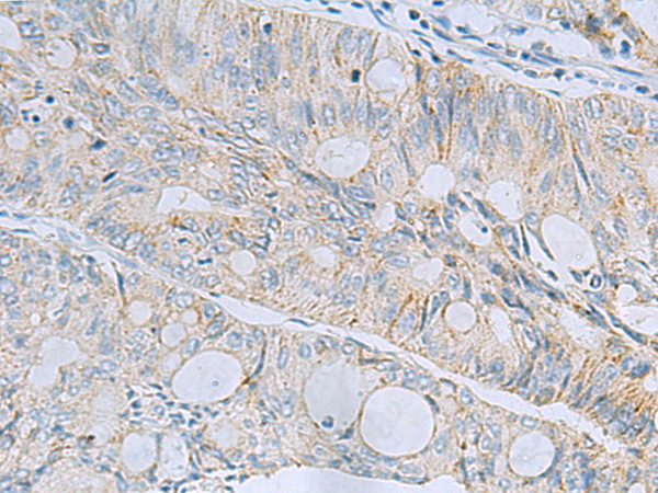
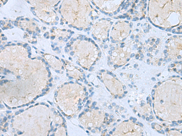
Applications: |
ELISA, IHC |
|
Name of antibody: |
MSI2 |
|
Immunogen: |
Fusion protein of human MSI2 |
|
Full name: |
musashi RNA binding protein 2 |
|
Synonyms: |
MSI2H |
|
SwissProt: |
Q96DH6 |
|
ELISA Recommended dilution: |
5000-10000 |
|
IHC positive control: |
Human colorectal cancer and Human thyroid cancer |
|
IHC Recommend dilution: |
50-100 |


購物車
幫助
021-54845833/15800441009
