中文名稱: 兔抗MTERF1多克隆抗體
英文名稱: Anti-MTERF1 rabbit polyclonal antibody
別 名: MTERF
相關類別: 一抗
儲 存: 冷凍(-20℃) 避光
宿 主: Rabbit
抗 原: MTERF1
反應種屬: Human
標 記 物: Unconjugate
克隆類型: Unconjugate
技術規格
|
Background: |
This gene encodes a mitochondrial transcription termination factor. This protein participates in attenuating transcription from the mitochondrial genome; this attenuation allows higher levels of expression of 16S ribosomal RNA relative to the tRNA gene downstream. The product of this gene has three leucine zipper motifs bracketed by two basic domains that are all required for DNA binding. There is evidence that, for this protein, the zippers participate in intramolecular interactions that establish the three-dimensional structure required for DNA binding. |
|
Applications: |
WB, IHC |
|
Name of antibody: |
MTERF1 |
|
Immunogen: |
Synthesized peptide derived from internal of human MTERF. |
|
Full name: |
mitochondrial transcription termination factor 1 |
|
Synonyms: |
MTERF |
|
SwissProt: |
Q99551 |
|
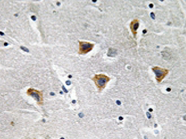
IHC positive control: |
Human brain tissue |
|
IHC Recommend dilution: |
50-100 |
|
WB Predicted band size: |
46 kDa |
|
WB Positive control: |
Jurkat cells lysate |
|
WB Recommended dilution: |
500-3000 |


購物車
幫助
021-54845833/15800441009
