中文名稱: 兔抗RBX1多克隆抗體
英文名稱: Anti-RBX1 rabbit polyclonal antibody
別 名: ROC1; RNF75; BA554C12.1
相關類別: 一抗
儲 存: 冷凍(-20℃) 避光
宿 主: Rabbit
反應種屬: Human, Mouse, Rat
標 記 物: Unconjugate
克隆類型: rabbit polyclonal
Background:
This locus encodes a RING finger-like domain-containing protein. The encoded protein interacts with cullin proteins and likely plays a role in ubiquitination processes necessary for cell cycle progression. This protein may also affect protein turnover. Related pseudogenes exist on chromosomes 2 and 5.
Applications:
WB, IHC
Name of antibody:
RBX1
Immunogen:
Fusion protein of human RBX1
Full name:
ring-box 1, E3 ubiquitin protein ligase
Synonyms:
ROC1; RNF75; BA554C12.1
SwissProt:
P62877
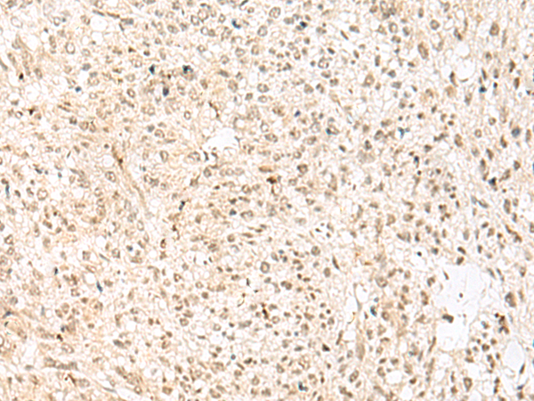
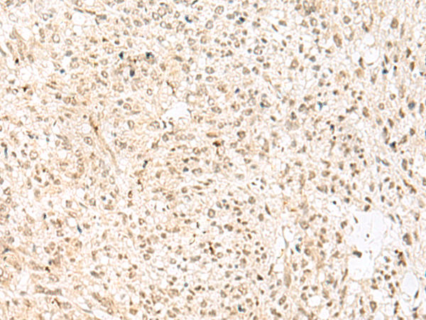
IHC positive control:
Human esophagus cancer and Human thyroid cancer
IHC Recommend dilution:
25-100
WB Predicted band size:
12 kDa
WB Positive control:
Jurkat, MCF7, hela and hepg2 cell, mouse brain and human placenta tissue
WB Recommended dilution:
500-2000
技術規格

購物車
幫助
021-54845833/15800441009
