中文名稱: 兔抗MVK多克隆抗體
英文名稱: Anti-MVK rabbit polyclonal antibody
別 名: MK; LRBP; MVLK; POROK3
相關類別: 一抗
儲 存: 冷凍(-20℃)
宿 主: Rabbit
抗 原: MVK
反應種屬: Human, Mouse, Rat
標 記 物: Unconjugate
克隆類型: rabbit polyclonal
技術規格
|
Background: |
This gene encodes the peroxisomal enzyme mevalonate kinase. Mevalonate is a key intermediate, and mevalonate kinase a key early enzyme, in isoprenoid and sterol synthesis. Mevalonate kinase deficiency caused by mutation of this gene results in mevalonic aciduria, a disease characterized psychomotor retardation, failure to thrive, hepatosplenomegaly, anemia and recurrent febrile crises. Defects in this gene also cause hyperimmunoglobulinaemia D and periodic fever syndrome, a disorder characterized by recurrent episodes of fever associated with lymphadenopathy, arthralgia, gastrointestinal dismay and skin rash. |
|
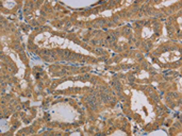
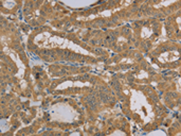
Applications: |
ELISA, WB, IHC |
|
Name of antibody: |
MVK |
|
Immunogen: |
Fusion protein of human MVK |
|
Full name: |
mevalonate kinase |
|
Synonyms: |
MK; LRBP; MVLK; POROK3 |
|
SwissProt: |
Q03426 |
|
ELISA Recommended dilution: |
1000-2000 |
|
IHC positive control: |
Human thyroid cancer and Human esophagus cancer |
|
IHC Recommend dilution: |
50-200 |
|
WB Predicted band size: |
42 kDa |
|
WB Positive control: |
Raji cells |
|
WB Recommended dilution: |
200-1000 |


購物車
幫助
021-54845833/15800441009
