中文名稱: 兔抗RIC8A多克隆抗體
英文名稱: Anti-RIC8A rabbit polyclonal antibody
別 名: RIC8 guanine nucleotide exchange factor A; RIC8
抗 原: RIC8A
儲 存: 冷凍(-20℃)
宿 主: Rabbit
反應種屬: Human, Mouse, Rat
相關類別: 一抗
標 記 物: Unconjugate
克隆類型: rabbit polyclonal
Background:
Guanine nucleotide exchange factor (GEF), which can activate some, but not all, G-alpha proteins. Able to activate GNAI1, GNAO1 and GNAQ, but not GNAS by exchanging bound GDP for free GTP. Involved in regulation of microtubule pulling forces during mitotic movement of chromosomes by stimulating G(i)-alpha protein, possibly leading to release G(i)-alpha-GTP and NuMA proteins from the NuMA-GPSM2-G(i)-alpha-GDP complex (By similarity). Also acts as an activator for G(q)-alpha (GNAQ) protein by enhancing the G(q)-coupled receptor-mediated ERK activation.
Applications:
ELISA, WB, IHC
Name of antibody:
RIC8A
Immunogen:
Fusion protein of human RIC8A
Full name:
RIC8 guanine nucleotide exchange factor A
Synonyms:
RIC8
SwissProt:
Q9NPQ8
ELISA Recommended dilution:
5000-10000
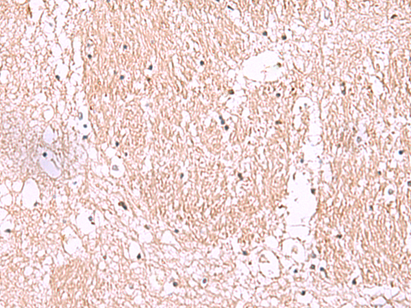
IHC positive control:
Human brain
IHC Recommend dilution:
50-300
WB Predicted band size:
60 kDa
WB Positive control:
HepG2 cell lysate
WB Recommended dilution:
500-2000
技術規格


購物車
幫助
021-54845833/15800441009