中文名稱: 兔抗NDUFB7多克隆抗體
英文名稱: Anti-NDUFB7 rabbit polyclonal antibody
別 名: NADH:ubiquinone oxidoreductase subunit B7; B18; CI-B18
相關類別: 一抗
儲 存: 冷凍(-20℃)
宿 主: Rabbit
抗 原: NDUFB7
反應種屬: Human, Mouse
標 記 物: Unconjugate
克隆類型: rabbit polyclonal
技術規格
|
Background: |
The protein encoded by this gene is a subunit of the multisubunit NADH:ubiquinone oxidoreductase (complex I). Mammalian complex I is composed of 45 different subunits. It is located at the mitochondrial inner membrane. This protein has NADH dehydrogenase activity and oxidoreductase activity. It transfers electrons from NADH to the respiratory chain. The immediate electron acceptor for the enzyme is believed to be ubiquinone. |
|
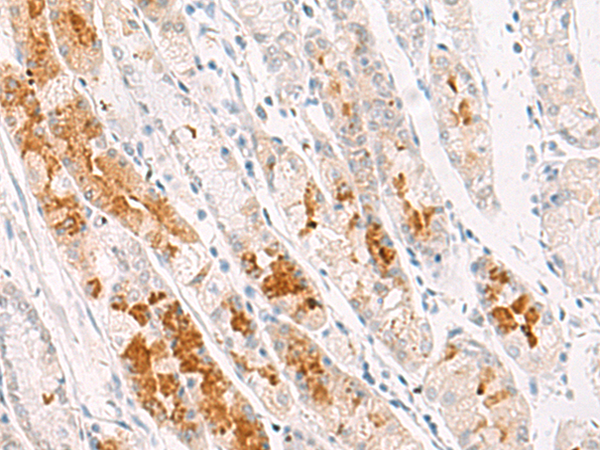
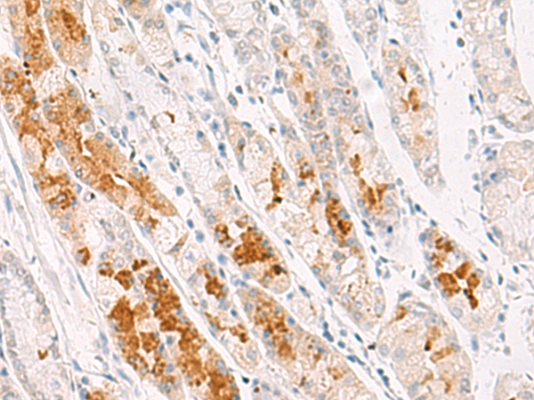
Applications: |
ELISA, IHC |
|
Name of antibody: |
NDUFB7 |
|
Immunogen: |
Synthetic peptide of human NDUFB7 |
|
Full name: |
NADH:ubiquinone oxidoreductase subunit B7 |
|
Synonyms: |
B18; CI-B18 |
|
SwissProt: |
P17568 |
|
ELISA Recommended dilution: |
5000-10000 |
|
IHC positive control: |
Human gastric cancer |
|
IHC Recommend dilution: |
30-150 |

購物車
幫助
021-54845833/15800441009
