中文名稱:兔抗RRBP1多克隆抗體
英文名稱: Anti-RRBP1 rabbit polyclonal antibody
別 名: RRp; hES; ES130; ES/130
相關類別: 一抗
儲 存: 冷凍(-20℃)
宿 主: Rabbit
抗 原: RRBP1
反應種屬: Human, Mouse
標記物: Unconjugate
克隆類型: rabbit polyclonal
技術規格
|
Background: |
This gene encodes a ribosome-binding protein of the endoplasmic reticulum (ER) membrane. Studies suggest that this gene plays a role in ER proliferation, secretory pathways and secretory cell differentiation, and mediation of ER-microtubule interactions. Alternative splicing has been observed and protein isoforms are characterized by regions of N-terminal decapeptide and C-terminal heptad repeats. Splicing of the tandem repeats results in variations in ribosome-binding affinity and secretory function. |
|
Applications: |
ELISA, WB, IHC |
|
Name of antibody: |
RRBP1 |
|
Immunogen: |
Fusion protein of human RRBP1 |
|
Full name: |
ribosome binding protein 1 |
|
Synonyms: |
RRp; hES; ES130; ES/130 |
|
SwissProt: |
Q9P2E9 |
|
ELISA Recommended dilution: |
2000-5000 |
|
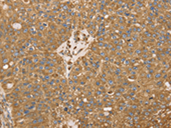
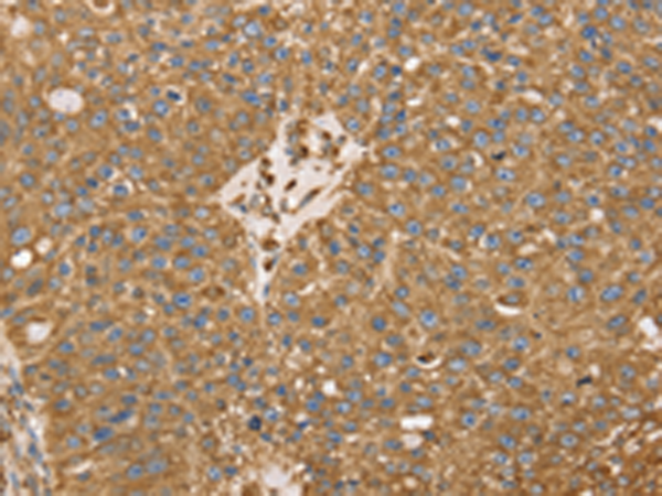
IHC positive control: |
Human breast cancer and human liver cancer |
|
IHC Recommend dilution: |
25-100 |
|
WB Predicted band size: |
152 kDa |
|
WB Positive control: |
K562 cells |
|
WB Recommended dilution: |
500-2000 |

購物車
幫助
021-54845833/15800441009
