中文名稱: 兔抗NEK9多克隆抗體
英文名稱: Anti-NEK9 rabbit polyclonal antibody
別 名: Nek8; NERCC; NERCC1
相關類別: 一抗
儲 存: 冷凍(-20℃)
宿 主: Rabbit
抗 原: NEK9
反應種屬: Human, Mouse
標 記 物: Unconjugate
克隆類型: rabbit polyclonal
技術規格
|
Background: |
NEK9, a NEK type protein kinase, regulates chromosome alignment and segregation in mitosis. The protein has a N-terminal NIMA-like catalytic domain, a central domain with homology to the guanine nucleotide exchange factor for the GTPase Ran (RCC1), and a C-terminal coiled-coil domain. It is phosphorylated by active p34(Cdc2) and is capable of autophosphorylation and oligomerization. |
|
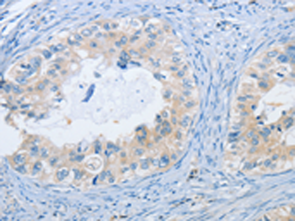
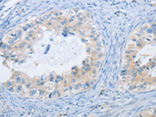
Applications: |
ELISA, IHC |
|
Name of antibody: |
NEK9 |
|
Immunogen: |
Synthetic peptide of human NEK9 |
|
Full name: |
NIMA-related kinase 9 |
|
Synonyms: |
Nek8; NERCC; NERCC1 |
|
SwissProt: |
Q8TD19 |
|
ELISA Recommended dilution: |
2000-5000 |
|
IHC positive control: |
Human cervical cancer and Human breast cancer |
|
IHC Recommend dilution: |
25-100 |

購物車
幫助
021-54845833/15800441009
