中文名稱:兔抗SAV1多克隆抗體
英文名稱: Anti-SAV1 rabbit polyclonal antibody
別 名: salvador family WW domain containing protein 1; SAV; WW45; WWP4
相關類別: 一抗
儲 存: 冷凍(-20℃)
宿 主: Rabbit
抗 原:SAV1
反應種屬: Human, Mouse, Rat
標記物: Unconjugate
克隆類型: rabbit polyclonal
Background:
WW domain-containing proteins are found in all eukaryotes and play an important role in the regulation of a wide variety of cellular functions such as protein degradation, transcription, and RNA splicing. This gene encodes a protein with two WW domains, a SARAH domain, and a coiled-coil region and is ubiquitously expressed in adult tissues. This protein binds to MST1 (mammalian sterile 20-like kinase 1) and promotes MST1-induced apoptosis. It has also been shown to bind to HAX1 (hematopoietic cell-specific protein 1 (HS1)-associated protein X-1) and to attenuate the anti-apoptotic effects of HAX1. Studies in human and mouse suggest this gene acts as a tumor suppressor.
Applications:
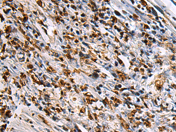
ELISA, WB, IHC
Name of antibody:
SAV1
Immunogen:
Fusion protein of human SAV1
Full name:
salvador family WW domain containing protein 1
Synonyms:
SAV; WW45; WWP4
SwissProt:
Q9H4B6
ELISA Recommended dilution:
5000-10000
IHC positive control:
Human brain and Human gastric cancer
IHC Recommend dilution:
100-300
WB Predicted band size:
45 kDa
WB Positive control:
HUVEC, PC-3 cell lysates
WB Recommended dilution:
500-2000
技術規格


購物車
幫助
021-54845833/15800441009
