中文名稱:兔抗SIRT4多克隆抗體
別 名: SIR2L4
相關類別: 一抗
儲 存: 冷凍(-20℃)
宿 主: Rabbit
抗 原: SIRT4
反應種屬: Human, Mouse
標記物: Unconjugate
克隆類型: rabbit polyclonal
技術規格
|
Background: |
This gene encodes a member of the sirtuin family of proteins, homologs to the yeast Sir2 protein. Members of the sirtuin family are characterized by a sirtuin core domain and grouped into four classes. The functions of human sirtuins have not yet been determined; however, yeast sirtuin proteins are known to regulate epigenetic gene silencing and suppress recombination of rDNA. Studies suggest that the human sirtuins may function as intracellular regulatory proteins with mono-ADP-ribosyltransferase activity. |
|
Applications: |
ELISA, IHC |
|
Name of antibody: |
SIRT4 |
|
Immunogen: |
Synthetic peptide of human SIRT4 |
|
Full name: |
sirtuin 4 |
|
Synonyms: |
SIR2L4 |
|
SwissProt: |
Q9Y6E7 |
|
ELISA Recommended dilution: |
1000-2000 |
|
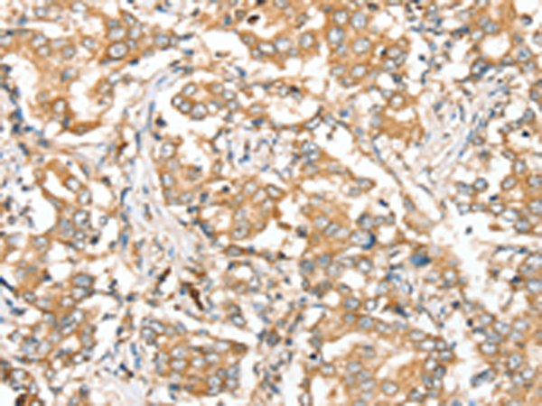
IHC positive control: |
Human liver cancer and Human lung cancer |
|
IHC Recommend dilution: |
25-100 |

購物車
幫助
021-54845833/15800441009
