中文名稱:兔抗SHROOM2多克隆抗體
英文名稱: Anti-SHROOM2 rabbit polyclonal antibody
別 名: APXL; HSAPXL
相關類別: 一抗
儲 存: 冷凍(-20℃)
抗 原: SHROOM2
宿 主: Rabbit
反應種屬: Human
標記物: Unconjugate
克隆類型: rabbit polyclonal
技術規格
|
Background: |
The protein encoded by this gene shares significant similarities with the apical protein from Xenopus laevis which is implicated in amiloride-sensitive sodium channel activity. This gene is a strong candidate gene for ocular albinism type 1 syndrome. |
|
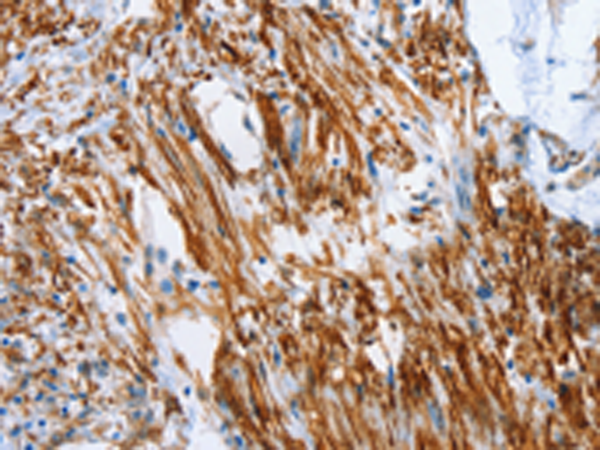
Applications: |
ELISA, IHC |
|
Name of antibody: |
SHROOM2 |
|
Immunogen: |
Synthetic peptide of human SHROOM2 |
|
Full name: |
shroom family member 2 |
|
Synonyms: |
APXL; HSAPXL |
|
SwissProt: |
Q13796 |
|
ELISA Recommended dilution: |
2000-5000 |
|
IHC positive control: |
Human colon cancer and Human cervical cancer |
|
IHC Recommend dilution: |
50-200 |

購物車
幫助
021-54845833/15800441009
