中文名稱:兔抗XPNPEP3多克隆抗體
英文名稱: Anti-XPNPEP3 rabbit polyclonal antibody
別 名: X-prolyl aminopeptidase 3; APP3; ICP55; NPHPL1
相關類別: 一抗
儲 存: 冷凍(-20℃)
宿 主: Rabbit
抗 原: XPNPEP3
反應種屬: Human, Mouse, Rat
標 記 物: Unconjugate
克隆類型: rabbit polyclonal
技術規格
|
Background: |
The protein encoded by this gene belongs to the family of X-pro-aminopeptidases that utilize a metal cofactor, and remove the N-terminal amino acid from peptides with a proline residue in the penultimate position. This protein has been shown to localize to the mitochondria of renal cells, and have a role in ciliary function. Mutations in this gene are associated with nephronophthisis-like nephropathy-1. Alternatively spliced transcript variants encoding different isoforms have been noted for this gene, however, expression of some of these isoforms in vivo is not known. |
|
Applications: |
ELISA, WB, IHC |
|
Name of antibody: |
XPNPEP3 |
|
Immunogen: |
Fusion protein of human XPNPEP3 |
|
Full name: |
X-prolyl aminopeptidase 3 |
|
Synonyms: |
APP3; ICP55; NPHPL1 |
|
SwissProt: |
Q9NQH7 |
|
ELISA Recommended dilution: |
5000-10000 |
|
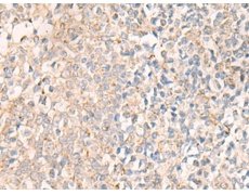
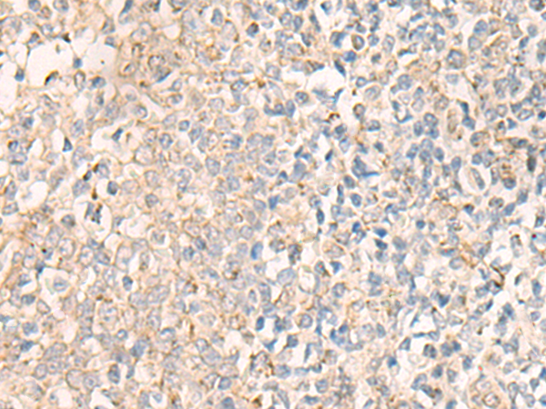
IHC positive control: |
Human ovarian cancer and Human tonsil |
|
IHC Recommend dilution: |
30-150 |
|
WB Predicted band size: |
57 kDa |
|
WB Positive control: |
PC-3 and 293T cell lysates |
|
WB Recommended dilution: |
200-1000 |

購物車
幫助
021-54845833/15800441009
