中文名稱:兔抗SHTN1多克隆抗體
英文名稱: Anti-SHTN1 rabbit polyclonal antibody
別 名: shootin 1; KIAA1598; shootin-1
相關類別: 一抗
儲 存: 冷凍(-20℃)
宿 主: Rabbit
抗 原: SHTN1
反應種屬: Human
標記物: Unconjugate
克隆類型: rabbit polyclonal
技術規格
|
Background: |
Involved in the generation of internal asymmetric signals required for neuronal polarization and neurite outgrowth. Mediates netrin-1-induced F-actin-substrate coupling or 'clutch engagement' within the axon growth cone through activation of CDC42, RAC1 and PAK1-dependent signaling pathway, thereby converting the F-actin retrograde flow into traction forces, concomitantly with filopodium extension and axon outgrowth. Plays a role in cytoskeletal organization by regulating the subcellular localization of phosphoinositide 3-kinase (PI3K) activity at the axonal growth cone. Plays also a role in regenerative neurite outgrowth. In the developing cortex, cooperates with KIF20B to promote both the transition from the multipolar to the bipolar stage and the radial migration of cortical neurons from the ventricular zone toward the superficial layer of the neocortex. Involved in the accumulation of phosphatidylinositol 3,4,5-trisphosphate (PIP3) in the growth cone of primary hippocampal neurons. |
|
Applications: |
ELISA, WB, IHC |
|
Name of antibody: |
SHTN1 |
|
Immunogen: |
Synthetic peptide of human SHTN1 |
|
Full name: |
shootin 1 |
|
Synonyms: |
KIAA1598; shootin-1 |
|
SwissProt: |
A0MZ66 |
|
ELISA Recommended dilution: |
5000-10000 |
|
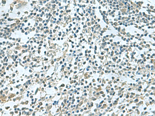
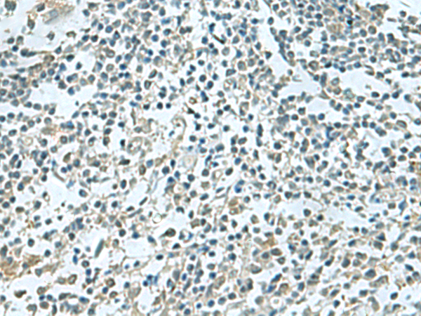
IHC positive control: |
Human tonsil |
|
IHC Recommend dilution: |
50-100 |
|
WB Predicted band size: |
72 kDa |
|
WB Positive control: |
Human fetal liver tissue lysate |
|
WB Recommended dilution: |
500-2000 |


購物車
幫助
021-54845833/15800441009
