中文名稱: 兔抗PEF1多克隆抗體
英文名稱: Anti-PEF1 rabbit polyclonal antibody
別 名: ABP32; PEF1A
相關類別: 一抗
儲 存: 冷凍(-20℃)
宿 主: Rabbit
抗 原: PEF1
反應種屬: Human, Mouse, Rat
標 記 物: Unconjugate
克隆類型: rabbit polyclonal
技術規格
|
Background: |
This gene encodes a calcium-binding protein belonging to the penta-EF-hand protein family. The encoded protein has been shown to form a heterodimer with the programmed cell death 6 gene product and may modulate its function in Ca(2+) signaling. Alternative splicing results in multiple transcript variants and a pseudogene has been identified on chromosome 1. |
|
Applications: |
ELISA, WB, IHC |
|
Name of antibody: |
PEF1 |
|
Immunogen: |
Fusion protein of human PEF1 |
|
Full name: |
penta-EF-hand domain containing 1 |
|
Synonyms: |
ABP32; PEF1A |
|
SwissProt: |
Q9UBV8 |
|
ELISA Recommended dilution: |
2000-5000 |
|
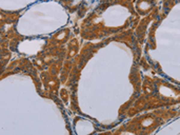
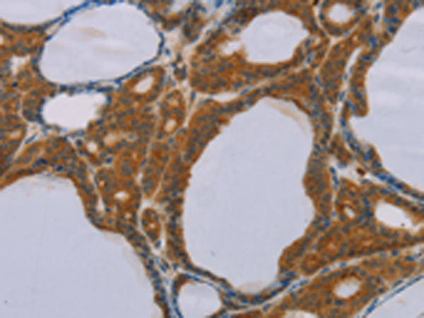
IHC positive control: |
Human thyroid cancer and Human liver cancer |
|
IHC Recommend dilution: |
25-100 |
|
WB Predicted band size: |
30 kDa |
|
WB Positive control: |
Jurkat and hela cells, 293T cells and human thyroid cancer tissue |
|
WB Recommended dilution: |
500-2000 |

購物車
幫助
021-54845833/15800441009
