中文名稱 : 兔抗PIK3R5多克隆抗體
英文名稱 : Anti-PIK3R5 rabbit polyclonal antibody
別 名 : p101; FOAP-2; P101-PI3K; F730038I15Rik
儲 存 : 冷凍(-20℃) 避光
抗 原 : PIK3R5
宿 主 : Rabbit
反應種屬 : Human Mouse
相關類別 : 一抗
標 記 物 : Unconjugate
克隆類型 : rabbit polyclonal
技術規格
|
Background: |
Phosphatidylinositol 3-kinases (PI3Ks) phosphorylate the inositol ring of phosphatidylinositol at the 3-prime position, and play important roles in cell growth, proliferation, differentiation, motility, survival and intracellular trafficking. The PI3Ks are divided into three classes: I, II and III, and only the class I PI3Ks are involved in oncogenesis. This gene encodes the 101 kD regulatory subunit of the class I PI3K gamma complex, which is a dimeric enzyme, consisting of a 110 kD catalytic subunit gamma and a regulatory subunit of either 55, 87 or 101 kD. This protein recruits the catalytic subunit from the cytosol to the plasma membrane through high-affinity interaction with G-beta-gamma proteins. Multiple alternatively spliced transcript variants encoding two distinct isoforms have been found. |
|
Applications: |
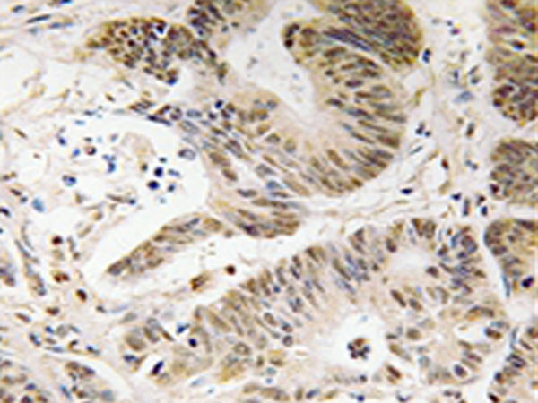
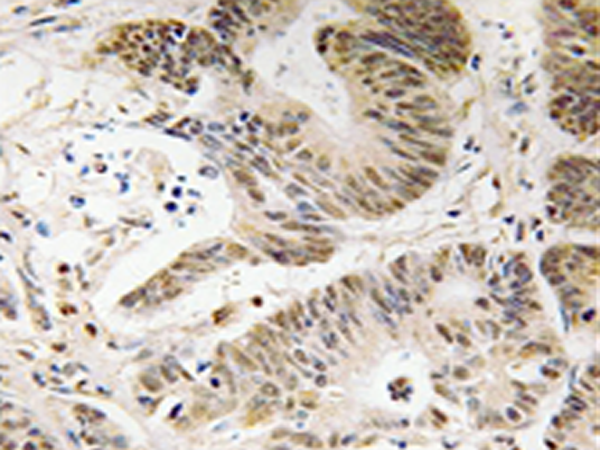
IHC |
|
Name of antibody: |
PIK3R5 |
|
Immunogen: |
Synthesized peptide derived from internal of human PIK3R5. |
|
Full name: |
phosphoinositide-3-kinase, regulatory subunit 5 |
|
Synonyms: |
p101; FOAP-2; P101-PI3K; F730038I15Rik |
|
SwissProt: |
Q8WYR1 |
|
IHC positive control: |
Human colon carcinoma tissue |
|
IHC Recommend dilution: |
50-100 |

購物車
幫助
021-54845833/15800441009
