中文名稱: 兔抗PHLPP1多克隆抗體
英文名稱: Anti-PHLPP1 rabbit polyclonal antibody
別 名: PHLPP1
相關類別: 一抗
儲 存: 冷凍(-20℃)
宿 主: Rabbit
抗 原: PHLPP1
反應種屬: Human, Mouse, Rat
標 記 物: Unconjugate
克隆類型: rabbit polyclonal
技術規格
|
Background: |
This gene encodes a member of the serine/threonine phosphatase family. The encoded protein promotes apoptosis by dephosphorylating and inactivating the serine/threonine kinase Akt, and functions as a tumor suppressor in multiple types of cancer. Increased expression of this gene may also play a role in obesity and type 2 diabetes by interfering with Akt-mediated insulin signaling. |
|
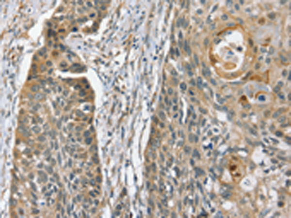
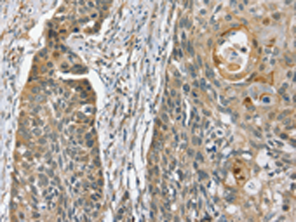
Applications: |
ELISA, IHC |
|
Name of antibody: |
PHLPP1 |
|
Immunogen: |
Fusion protein of human PHLPP1 |
|
Full name: |
PH domain and leucine rich repeat protein phosphatase 1 |
|
Synonyms: |
PHLPP1 |
|
SwissProt: |
O60346 |
|
ELISA Recommended dilution: |
1000-2000 |
|
IHC positive control: |
Human esophagus cancer and human brain |
|
IHC Recommend dilution: |
25-100 |

購物車
幫助
021-54845833/15800441009
