中文名稱: 兔抗PLOD2多克隆抗體
英文名稱: Anti-PLOD2 rabbit polyclonal antibody
別 名: procollagen-lysine,2-oxoglutarate 5-dioxygenase 2; LH2; TLH; BRKS2
相關類別: 一抗
儲 存: 冷凍(-20℃)
宿 主: Rabbit
抗 原: PLOD2
反應種屬: Human, Mouse, Rat
標 記 物: Unconjugate
克隆類型: rabbit polyclonal
|
Background: |
The protein encoded by this gene is a membrane-bound homodimeric enzyme that is localized to the cisternae of the rough endoplasmic reticulum. The enzyme (cofactors iron and ascorbate) catalyzes the hydroxylation of lysyl residues in collagen-like peptides. The resultant hydroxylysyl groups are attachment sites for carbohydrates in collagen and thus are critical for the stability of intermolecular crosslinks. Some patients with Ehlers-Danlos syndrome type VIB have deficiencies in lysyl hydroxylase activity. Mutations in the coding region of this gene are associated with Bruck syndrome. Alternative splicing results in multiple transcript variants encoding different isoforms. |
|
Applications: |
ELISA, IHC |
|
Name of antibody: |
PLOD2 |
|
Immunogen: |
Fusion protein of human PLOD2 |
|
Full name: |
procollagen-lysine,2-oxoglutarate 5-dioxygenase 2 |
|
Synonyms: |
LH2; TLH; BRKS2 |
|
SwissProt: |
O00469 |
|
ELISA Recommended dilution: |
5000-10000 |
|
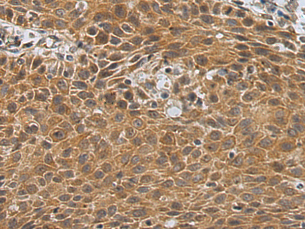
IHC positive control: |
Human esophagus cancer |
|
IHC Recommend dilution: |
150-300 |

購物車
幫助
021-54845833/15800441009
