中文名稱: 兔抗PPP1R42多克隆抗體
英文名稱: Anti-PPP1R42 rabbit polyclonal antibody
別 名: dtr; TLLR; LRRC67
相關類別: 一抗
儲 存: 冷凍(-20℃)
宿 主: Rabbit
抗 原: PPP1R42
反應種屬: Human, Mouse
標 記 物: Unconjugate
克隆類型: rabbit polyclonal
技術規格
|
Background: |
Regulates phosphatase activity of protein phosphatase 1 (PP1) complexes in the testis. |
|
Applications: |
ELISA, IHC |
|
Name of antibody: |
PPP1R42 |
|
Immunogen: |
Synthetic peptide of human PPP1R42 |
|
Full name: |
protein phosphatase 1 regulatory subunit 42 |
|
Synonyms: |
dtr; TLLR; LRRC67 |
|
SwissProt: |
Q7Z4L9 |
|
ELISA Recommended dilution: |
5000-10000 |
|
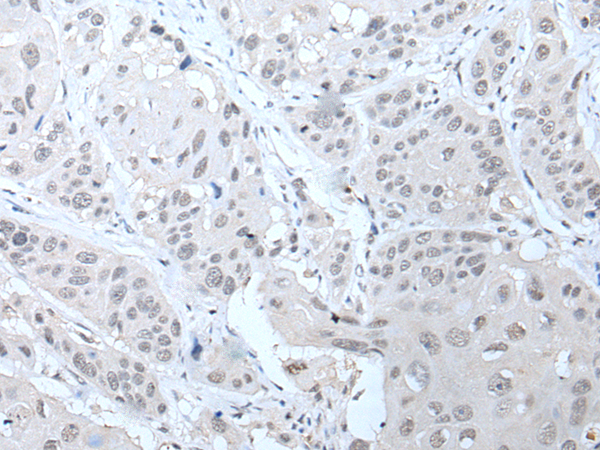
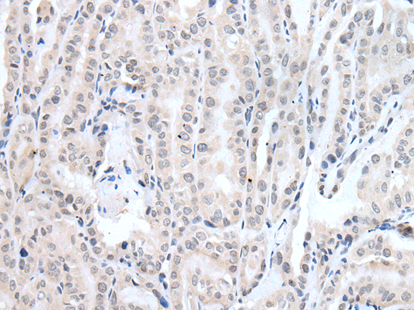
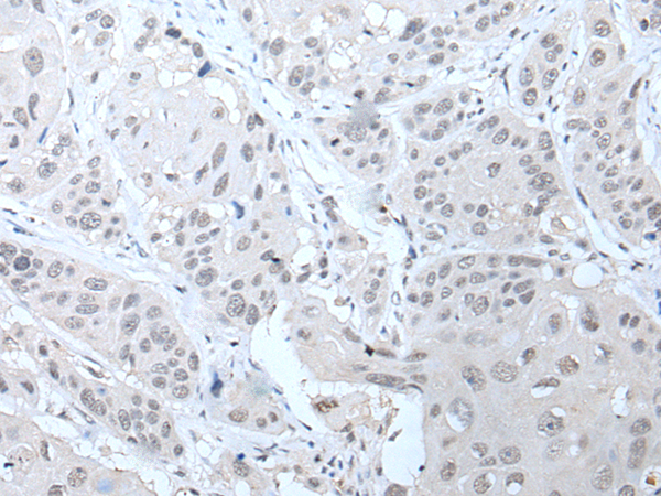
IHC positive control: |
Human thyroid cancer and human liver cancer |
|
IHC Recommend dilution: |
25-100 |


購物車
幫助
021-54845833/15800441009
