中文名稱: 兔抗PRKAR2A多克隆抗體
英文名稱: Anti-PRKAR2A rabbit polyclonal antibody
別 名: PKR2; PRKAR2
儲 存: 冷凍(-20℃)
抗 原: PRKAR2A
宿 主: Rabbit
相關類別: 一抗
反應種屬: Human
標 記 物: Unconjugate
克隆類型: rabbit polyclonal
技術規格
|
Background: |
cAMP is a signaling molecule important for a variety of cellular functions. cAMP exerts its effects by activating the cAMP-dependent protein kinase, which transduces the signal through phosphorylation of different target proteins. The inactive kinase holoenzyme is a tetramer composed of two regulatory and two catalytic subunits. cAMP causes the dissociation of the inactive holoenzyme into a dimer of regulatory subunits bound to four cAMP and two free monomeric catalytic subunits. Four different regulatory subunits and three catalytic subunits have been identified in humans. The protein encoded by this gene is one of the regulatory subunits. This subunit can be phosphorylated by the activated catalytic subunit. It may interact with various A-kinase anchoring proteins and determine the subcellular localization of cAMP-dependent protein kinase. This subunit has been shown to regulate protein transport from endosomes to the Golgi apparatus and further to the endoplasmic reticulum (ER). |
|
Applications: |
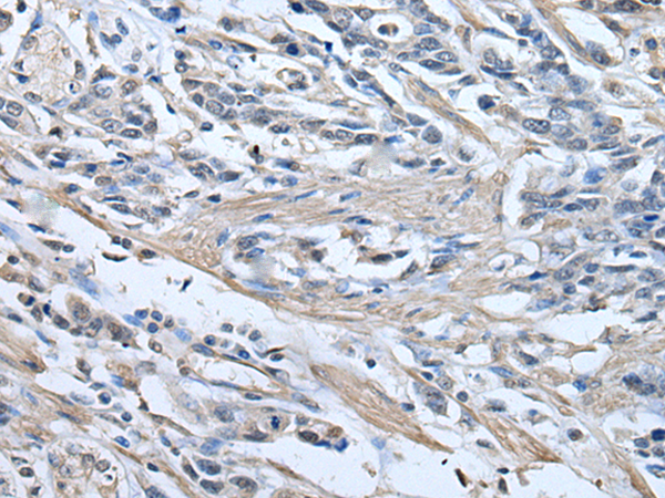
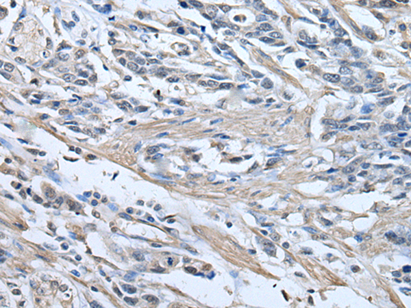
ELISA, IHC |
|
Name of antibody: |
PRKAR2A |
|
Immunogen: |
Fusion protein of human PRKAR2A |
|
Full name: |
protein kinase, cAMP-dependent, regulatory subunit type II alpha |
|
Synonyms: |
PKR2; PRKAR2 |
|
SwissProt: |
P13861 |
|
ELISA Recommended dilution: |
5000-10000 |
|
IHC positive control: |
Human gastric cancer |
|
IHC Recommend dilution: |
25-100 |

購物車
幫助
021-54845833/15800441009
