中文名稱:兔抗UBE2M多克隆抗體
|
Background: |
The modification of proteins with ubiquitin is an important cellular mechanism for targeting abnormal or short-lived proteins for degradation. Ubiquitination involves at least three classes of enzymes: ubiquitin-activating enzymes, or E1s, ubiquitin-conjugating enzymes, or E2s, and ubiquitin-protein ligases, or E3s. This gene encodes a member of the E2 ubiquitin-conjugating enzyme family. The encoded protein is linked with a ubiquitin-like protein, NEDD8, which can be conjugated to cellular proteins, such as Cdc53/culin. |
|
Applications: |
ELISA, WB, IHC |
|
Name of antibody: |
UBE2M |
|
Immunogen: |
Fusion protein of human UBE2M |
|
Full name: |
ubiquitin conjugating enzyme E2 M |
|
Synonyms: |
UBC12; hUbc12; UBC-RS2 |
|
SwissProt: |
P61081 |
|
ELISA Recommended dilution: |
5000-10000 |
|
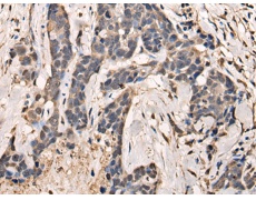
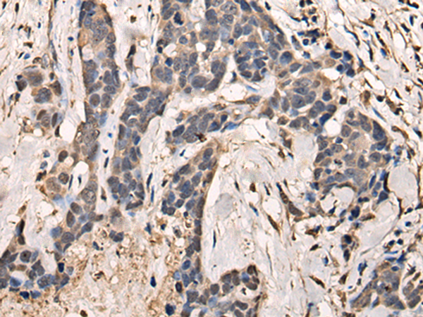
IHC positive control: |
Human thyroid cancer |
|
IHC Recommend dilution: |
25-100 |
|
WB Predicted band size: |
21 kDa |
|
WB Positive control: |
Hela, Raji, LO2 cell lysates |
|
WB Recommended dilution: |
500-2000 |

購物車
幫助
021-54845833/15800441009
