Background:
This gene encodes a voltage-dependent anion channel protein that is a major component of the outer mitochondrial membrane. The encoded protein facilitates the exchange of metabolites and ions across the outer mitochondrial membrane and may regulate mitochondrial functions. This protein also forms channels in the plasma membrane and may be involved in transmembrane electron transport. Alternate splicing results in multiple transcript variants. Multiple pseudogenes of this gene are found on chromosomes 1, 2 3, 6, 9, 12, X and Y.
Applications:
ELISA, WB, IHC
Name of antibody:
VDAC1
Immunogen:
Full length fusion protein
Full name:
voltage-dependent anion channel 1
Synonyms:
PORIN; VDAC-1
SwissProt:
P21796
ELISA Recommended dilution:
5000-10000
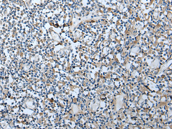
IHC positive control:
Human esophagus cancer and human prostate cancer
IHC Recommend dilution:
25-100
WB Predicted band size:
31 kDa
WB Positive control:
A431,Jurkat,Hela and 293T cell lysates
WB Recommended dilution:
500-2000


購物車
幫助
021-54845833/15800441009
