中文名稱:兔抗APOL2多克隆抗體
|
Background: |
This gene is a member of the apolipoprotein L gene family. The encoded protein is found in the cytoplasm, where it may affect the movement of lipids or allow the binding of lipids to organelles. Two transcript variants encoding the same protein have been found for this gene. |
|
Applications: |
ELISA, WB, IHC |
|
Name of antibody: |
APOL2 |
|
Immunogen: |
Synthetic peptide of human APOL2 |
|
Full name: |
apolipoprotein L, 2 |
|
Synonyms: |
APOL3; APOL-II |
|
SwissProt: |
Q9BQE5 |
|
ELISA Recommended dilution: |
2000-10000 |
|
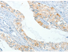
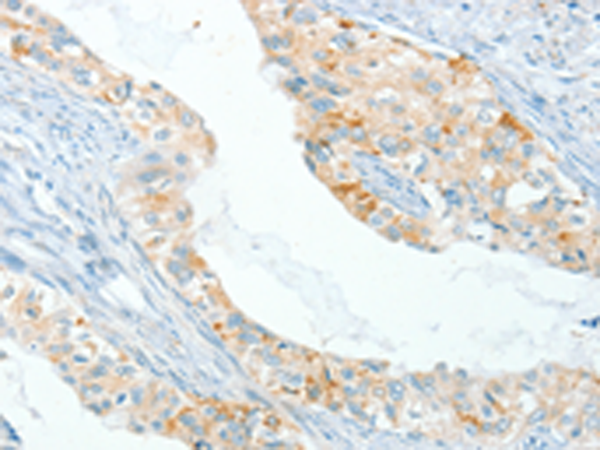
IHC positive control: |
Human cervical cancer and Human gastric cancer |
|
IHC Recommend dilution: |
100-300 |
|
WB Predicted band size: |
37 kDa |
|
WB Positive control: |
Human fetal liver tissue and huvec cells |
|
WB Recommended dilution: |
500-2000 |
購物車
幫助
021-54845833/15800441009
