|
Background: |
Stomatin-like protein 2 (STOML2), SLP-2 or EPB72-like 2, is a 356 amino acid member of the mec-2 family of proteins. Expressed ubiquitously at low levels, STOML2 is highly expressed in heart, liver and pancreas. STOML2 is localized to the cytoplasm with some distribution on the membrane. STOML2 was first identified as an overexpressed protein in human endometrial adenocarcinoma. Changes in cell growth in samples with different levels of STOML2 indicate that STOML2 could play a role in endometrial tumorigenesis. STOML2 is also thought to play a role in regulating ion channel conductances or the organization of sphingolipid and cholesterol-rich lipid rafts. |
|
Applications: |
ELISA, WB, IHC |
|
Name of antibody: |
STOML2 |
|
Immunogen: |
Fusion protein of human STOML2 |
|
Full name: |
stomatin like 2 |
|
Synonyms: |
SLP-2; HSPC108 |
|
SwissProt: |
Q9UJZ1 |
|
ELISA Recommended dilution: |
5000-10000 |
|
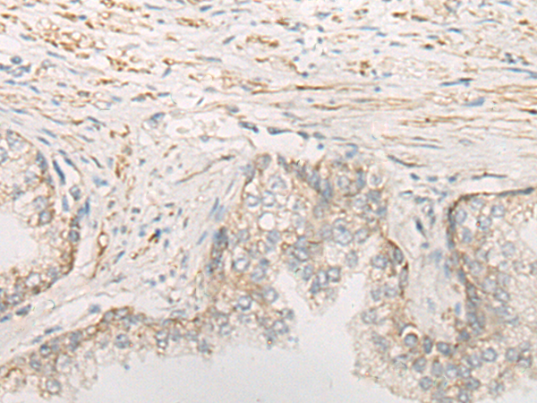
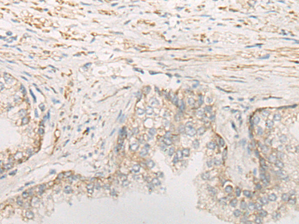
IHC positive control: |
Human prostate cancer |
|
IHC Recommend dilution: |
20-100 |
|
WB Predicted band size: |
39 kDa |
|
WB Positive control: |
Mouse brain tissue,Rat heart tissue,Rat brain tissue lysates |
|
WB Recommended dilution: |
500-2000 |

購物車
幫助
021-54845833/15800441009
