|
Background: |
This gene encodes a member of the family of non-receptor type Tyr protein kinases. This protein is widely expressed in hematopoietic cells and is involved in coupling activated immunoreceptors to downstream signaling events that mediate diverse cellular responses, including proliferation, differentiation, and phagocytosis. It is thought to be a modulator of epithelial cell growth and a potential tumour suppressor in human breast carcinomas. Alternatively spliced transcript variants encoding different isoforms have been found for this gene. |
|
Applications: |
WB, IHC, IF |
|
Name of antibody: |
SYK(phospho-Tyr323) |
|
Immunogen: |
Synthetic peptide of human SYK |
|
Full name: |
spleen associated tyrosine kinase |
|
Synonyms: |
p72-Syk |
|
SwissProt: |
P43405 |
|
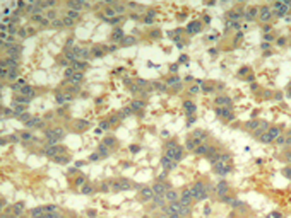
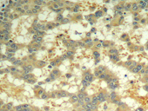
IHC positive control: |
Human breast carcinoma |
|
IHC Recommend dilution: |
50-100 |
|
WB Predicted band size: |
72 kDa |
|
WB Positive control: |
JurKat cells treated with H2O2 |
|
WB Recommended dilution: |
500-1000 |


購物車
幫助
021-54845833/15800441009
