|
Background: |
The protein encoded by this gene is a kininase that uses zinc as a cofactor. The encoded oligopeptidase cleaves cytosolic peptides, making them unavailable for display on antigen-presenting cells. This protein also cleaves neuropeptides under 20 aa in length and can degrade beta-amyloid precursor protein to amyloidogenic peptides. |
|
Applications: |
ELISA, WB, IHC |
|
Name of antibody: |
THOP1 |
|
Immunogen: |
Fusion protein of human THOP1 |
|
Full name: |
thimet oligopeptidase 1 |
|
Synonyms: |
TOP; MP78; EP24.15; MEPD_HUMAN |
|
SwissProt: |
P52888 |
|
ELISA Recommended dilution: |
2000-5000 |
|
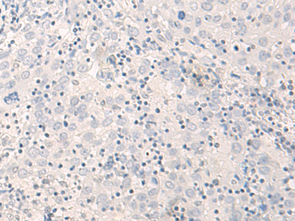
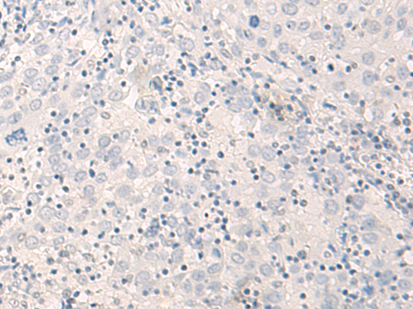
IHC positive control: |
Human cervical cancer |
|
IHC Recommend dilution: |
25-100 |
|
WB Predicted band size: |
79 kDa |
|
WB Positive control: |
Human cerebrum tissue and Human fetal brain tissue lysates |
|
WB Recommended dilution: |
500-2000 |

購物車
幫助
021-54845833/15800441009
