|
Background: |
This gene belongs to the TMED (transmembrane emp24 domain-containing) protein family, which is involved in the vesicular trafficking of proteins. The protein encoded by this gene was identified by its interaction with interleukin 1 receptor-like 1 (IL1RL1) and may play a role in innate immunity. This protein lacks any similarity to other interleukin 1 ligands. Alternative splicing results in multiple transcript variants of this gene. |
|
Applications: |
ELISA, WB, IHC |
|
Name of antibody: |
TMED1 |
|
Immunogen: |
Fusion protein of human TMED1 |
|
Full name: |
transmembrane emp24 protein transport domain containing 1 |
|
Synonyms: |
Tp24; Il1rl1l; IL1RL1LG |
|
SwissProt: |
Q13445 |
|
ELISA Recommended dilution: |
1000-2000 |
|
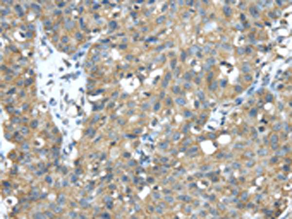
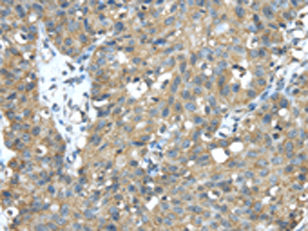
IHC positive control: |
Human breast cancer and human thyroid cancer |
|
IHC Recommend dilution: |
25-100 |
|
WB Predicted band size: |
25 kDa |
|
WB Positive control: |
231 and A172 cells |
|
WB Recommended dilution: |
200-1000 |

購物車
幫助
021-54845833/15800441009
