中文名稱:兔抗ATF7多克隆抗體
|
Background: |
Plays important functions in early cell signaling. Binds the cAMP response element (CRE) (consensus: 5'-GTGACGT[AG][AG]-3'), a sequence present in many viral and cellular promoters. Activator of the NF-ELAM1/delta-A site of the E-selectin promoter. Has no intrinsic transcriptional activity, but activates transcription on formation of JUN or FOS heterodimers. Also can bind TRE promoter sequences when heterodimerized with members of the JUN family. |
|
Applications: |
ELISA, IHC |
|
Name of antibody: |
ATF7 |
|
Immunogen: |
Full length fusion protein |
|
Full name: |
activating transcription factor 7 |
|
Synonyms: |
ATFA |
|
SwissProt: |
P17544 |
|
ELISA Recommended dilution: |
5000-10000 |
|
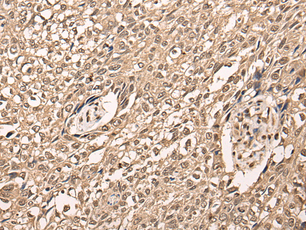
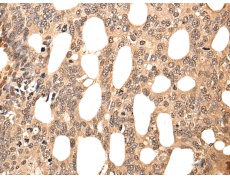
IHC positive control: |
Human lung cancer and human colorectal cancer |
|
IHC Recommend dilution: |
30-150 |


購物車
幫助
021-54845833/15800441009
