中文名稱: 兔抗ADCY1多克隆抗體
|
Background: |
This gene encodes a form of adenylate cyclase expressed in brain. A similar protein in mouse is involved in pattern formation of the brain. |
|
Applications: |
ELISA, IHC |
|
Name of antibody: |
ADCY1 |
|
Immunogen: |
Synthetic peptide of human ADCY1 |
|
Full name: |
adenylate cyclase 1 (brain) |
|
Synonyms: |
AC1 |
|
SwissProt: |
Q08828 |
|
ELISA Recommended dilution: |
2000-10000 |
|
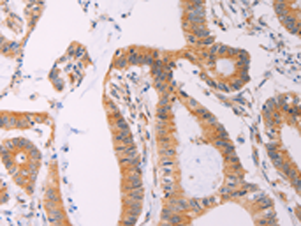
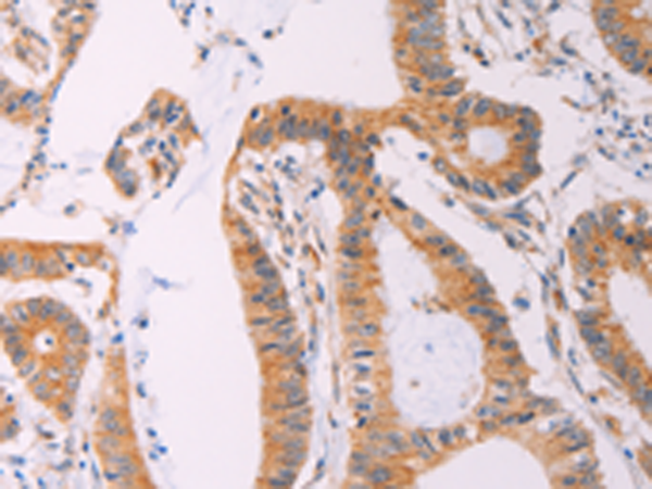
IHC positive control: |
Human colon cancer and Human liver cancer |
|
IHC Recommend dilution: |
100-300 |
購物車
幫助
021-54845833/15800441009
