中文名稱:兔抗BHLHA15多克隆抗體
|
Background: |
MIST1 (muscle, intestine and stomach expression 1), also known as BHLHB8 (basic helix-loop-helix domain containing, class B, 8), is a 189 amino acid nuclear protein expressed in liver, brain, skeletal muscle and spleen. MIST1 contains a basic helix-loop-helix (bHLH) domain and belongs to the bHLH family of transcription factors. Members of this family bind to the E-box motifs present in the promoter or enhancer regions of a variety of developmentally regulated genes and function as either transcriptional activators or transcriptional repressors. MIST1 is capable of binding to E-box motifs as a homodimer or a heterodimer with E-proteins (E12 and E47) and is believed to play a role regulating the transcriptional activity of MyoD, a protein involved in the regulation of muscle cell development. More specifically, MIST1 functions as a repressor of MyoD activity, ensuring that myoblast populations do not differentiate. In addition, MIST1 is expressed in mammary epithelial cells and is essential for the regulation of mammary gland development. |
|
Applications: |
ELISA, WB, IHC |
|
Name of antibody: |
BHLHA15 |
|
Immunogen: |
Synthetic peptide of human BHLHA15 |
|
Full name: |
basic helix-loop-helix family member a15 |
|
Synonyms: |
MIST1; BHLHB8 |
|
SwissProt: |
Q7RTS1 |
|
ELISA Recommended dilution: |
5000-10000 |
|
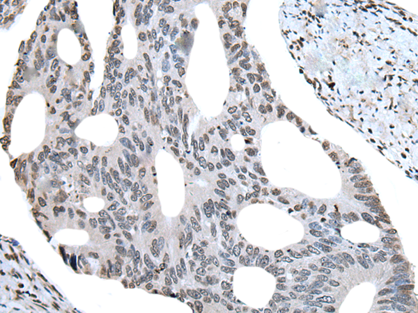
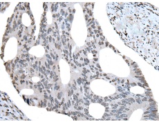
IHC positive control: |
Human colorectal cancer |
|
IHC Recommend dilution: |
20-100 |
|
WB Predicted band size: |
21 kDa |
|
WB Positive control: |
Human muscle tissue,Human spleen tissue,Mouse Pancreas tissue,Human pancreas tissue and Mouse liver tissue lysates |
|
WB Recommended dilution: |
200-1000 |


購物車
幫助
021-54845833/15800441009
