中文名稱:兔抗BRAF多克隆抗體
|
Background: |
This gene encodes a protein belonging to the raf/mil family of serine/threonine protein kinases. This protein plays a role in regulating the MAP kinase/ERKs signaling pathway, which affects cell division, differentiation, and secretion. Mutations in this gene are associated with cardiofaciocutaneous syndrome, a disease characterized by heart defects, mental retardation and a distinctive facial appearance. Mutations in this gene have also been associated with various cancers, including non-Hodgkin lymphoma, colorectal cancer, malignant melanoma, thyroid carcinoma, non-small cell lung carcinoma, and adenocarcinoma of lung. A pseudogene, which is located on chromosome X, has been identified for this gene. |
|
Applications: |
ELISA, WB, IHC |
|
Name of antibody: |
BRAF |
|
Immunogen: |
Synthetic peptide of human BRAF |
|
Full name: |
v-raf murine sarcoma viral oncogene homolog B |
|
Synonyms: |
NS7; BRAF1; RAFB1; B-RAF1 |
|
SwissProt: |
P15056 |
|
ELISA Recommended dilution: |
2000-5000 |
|
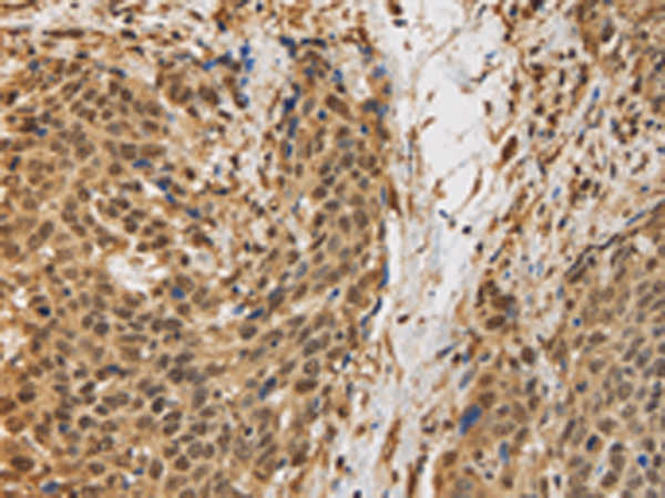
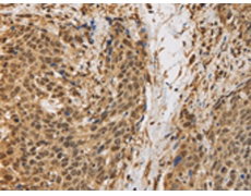
IHC positive control: |
Human cervical cancer and Human prostate cancer |
|
IHC Recommend dilution: |
50-200 |
|
WB Predicted band size: |
84 kDa |
|
WB Positive control: |
Hela and Raji cells |
|
WB Recommended dilution: |
500-2000 |


購物車
幫助
021-54845833/15800441009
