技術規格
Background:
This gene encodes a CCCH-type zinc finger protein that is thought to prevent infection by retroviruses. Studies of the rat homolog indicate that the protein may primarily function to inhibit viral gene expression and induce an innate immunity to viral infection. Alternative splicing occurs at this locus and two variants, each encoding distinct isoforms, are described.
Applications:
ELISA, IHC
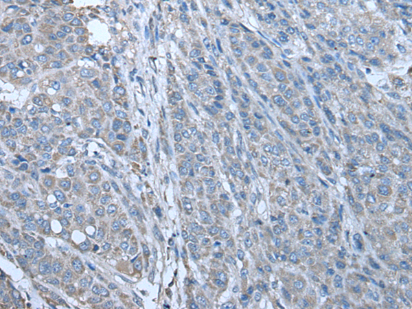
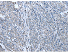
Name of antibody:
ZC3HAV1
Immunogen:
Synthetic peptide of human ZC3HAV1
Full name:
zinc finger CCCH-type, antiviral 1
Synonyms:
ZAP; ZC3H2; ARTD13; PARP13; FLB6421; ZC3HDC2
SwissProt:
Q7Z2W4
ELISA Recommended dilution:
5000-10000
IHC positive control:
Human liver cancer and human lung cancer
IHC Recommend dilution:
25-100


購物車
幫助
021-54845833/15800441009
