中文名稱:兔抗ZNF496多克隆抗體
|
Background: |
Zinc-finger proteins contain DNA-binding domains and have a wide variety of functions, most of which encompass some form of transcriptional activation or repression. The majority of zinc-finger proteins contain a Krüppel-type DNA binding domain and a KRAB domain, which is thought to interact with KAP1, thereby recruiting histone modifying proteins. ZNF496 (Zinc finger protein 496), also known as ZKSCAN17 or NIZP1, is a 587 amino acid member of the Krüppel C2H2-type zinc-finger protein family and is thought to act as a transcriptional repressor. Localized to the nucleus, ZNF496 contains one SCAN box domain, one KRAB domain and five C2H2-type zinc fingers through which it may convey DNA, RNA and protein binding capabilities. |
|
Applications: |
ELISA, IHC |
|
Name of antibody: |
ZNF496 |
|
Immunogen: |
Fusion protein of human ZNF496 |
|
Full name: |
zinc finger protein 496 |
|
Synonyms: |
NIZP1; ZFP496; ZSCAN49; ZKSCAN17 |
|
SwissProt: |
Q96IT1 |
|
ELISA Recommended dilution: |
5000-10000 |
|
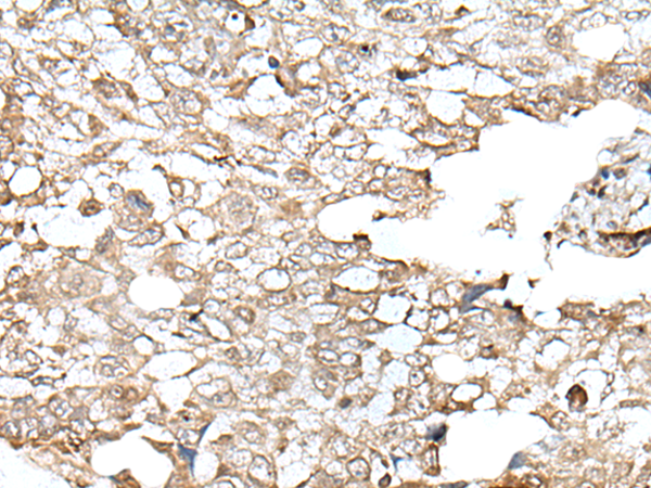
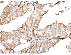
IHC positive control: |
Human lung cancer and human liver cancer |
|
IHC Recommend dilution: |
25-100 |

購物車
幫助
021-54845833/15800441009
