標 記 物: Unconjugate
技術規格
|
Background: |
Latexin, also designated endogenous carboxypeptidase inhibitor (ECI) or tissue carboxypeptidase inhibitor (TCI), belongs to the protease inhibitor I47 family of proteins. Latexin acts as a non-competitive, reversible inhibitor for metallocarboxypeptidases (MCPs), including CPA1, CPA2 and CPA4. It is a cytoplasmic protein that is highly expressed in heart, prostate, pancreas, ovary, kidney, brain and colon. Latexin consists of two topologically equivalent subdomains that bind to MCPs with low specificity, which gives it with the flexibility to inhibit all vertebrate A/B MCPs. |
|
Applications: |
ELISA, WB, IHC |
|
Name of antibody: |
LXN |
|
Immunogen: |
Fusion protein of human LXN |
|
Full name: |
latexin |
|
Synonyms: |
ECI; TCI |
|
SwissProt: |
Q9BS40 |
|
ELISA Recommended dilution: |
2000-10000 |
|
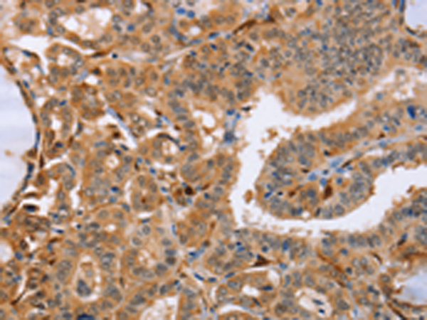
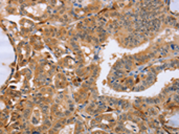
IHC positive control: |
Human thyroid cancer and Human colon cancer |
|
IHC Recommend dilution: |
25-100 |
|
WB Predicted band size: |
26 kDa |
|
WB Positive control: |
A549 cells |
|
WB Recommended dilution: |
1000-5000 |


購物車
幫助
021-54845833/15800441009
